Breast Lump छाती में गठान, क्या यह कैंसर है (Breast cancer ) ?
दोस्तों आज का यह लेख छाती के कैंसर ( Breast Lump ) के बारे में कुछ महत्वपूर्ण जानकारी आपको देने के लिए लिखा गया है.स्तन का कैंसर, भारत देश में एक बहुत ही ज्यादा पाए जाने वाला कैंसर रोग है. यह अक्सर 30 से 50 साल की महिलाओं के स्तनों में पाया जाता है. इस वजह से इन आयु की सभी महिलाएं अगर स्तनों में कुछ भी बीमारी होती है, तो कैंसर की वजह से डरी हुई रहती हैं.
पर इस बात का फायदा कुछ स्वघोषित डॉक्टर उठाते हैं और इन महिलाओं को गुमराह करते हैं . इसीलिए इस आर्टिकल के माध्यम से उन तमाम महिलाओं को स्तन कैंसर के बारे में अत्यंत महत्वपूर्ण बातें में देना चाहता हूं.
Breast Lump, मेरे स्तन में गांठ है
अब मैं क्या करूं ?
यह सवाल अक्सर उस महिलाओं के मन में आता है जिनको अचानक अपने स्तन में गठान ( Breast Lump ) महसूस होने लगते हैं. अचानक हुए इस बदलाव से वह घबरा जाती है. उसके मन में अचानक कैंसर का डर पैदा होता है. क्योंकि उसने इस ब्रेस्ट कैंसर के बारे में न्यूज़पेपर में, टीवी पर या सोसाइटी की बातों में सुना हुआ होता है. और उन्हें यह भी पता होता है कि यह जानलेवा है .
इसी घबराहट और शर्म के कारण वह किसी को तुरंत बताना या दिखाना नहीं चाहती. इस बारे में महिलाएं अक्सर अपनी पड़ोसन या दोस्तों को बताती है. और अगर उनके पड़ोसी या सोसाइटी के दोस्त उसे कुछ सलाह देते हैं तो वह मानते भी हैं.
अगर पड़ोसी महिलाएं, डॉक्टर के पास जाकर चेक कराने का मशवरा देती है तो बहुत अच्छी बात है. पर अगर वो कहती है की ऐसी गठान आयुर्वेदिक इलाज से या जड़ी बूटी से ठीक हो जाएंगी, तुम मेरे साथ चलो, मेरे पहचान के एक डॉक्टर है. तो यह बात कैंसर के इलाज के लिए घातक साबित हो सकती है.
इसीलिए ऐसी बातें ना मानकर क्या करना चाहिए यह मैं आपको बताने जा रहा हूं .

जब भी आपको ऐसा लगे कि आपके स्तन में कुछ कड़क पन महसूस हो रहा है Painful lump in breast, या कुछ गांठ हाथ को लग रही है, तो आपने सर्वप्रथम आपके नजदीकी जनरल सर्जरी के स्पेशलिस्ट को दिखाना चाहिए.
जनरल सर्जरी स्पेशलिस्ट वह डॉक्टर होते हैं जो पेट के और स्तन के ऑपरेशन ( Breast cancer treatment ) करते हैं. जनरली जो सर्जन अपेंडिक्स, हर्निया, हाइड्रोसिल इनके ऑपरेशन करते हैं वह जनरल सर्जन होते हैं.
इसीलिए आप प्रथम इन डॉक्टर को दिखाना चाहिए.
यह डॉक्टर आपके स्तन की गठान को अपने हाथों से सर्वप्रथम चेक करेंगे. आपकी कांख में कोई गठान बनी तो नहीं यह भी देखेंगे और आपके स्तन और निप्पल का ऑब्जरवेशन भी करेंगे .
इस प्राथमिक जांच के बाद सर्जन आपको कैंसर की पॉसिबिलिटी है कि नहीं यह बता सकेंगे. कुछ गांठे जो सिंपल होती है, उसे हाथ से चेक करते ही सर्जन बता सकते हैं कि यह गांठ कैंसर की लग नहीं रही. इसके विपरीत कुछ गांठ को
हाथ लगाने से ही समझ में आता है कि इनमें कैंसर के लक्षण हो सकते हैं.

कैंसर की जांचे ( Breast cancer investigation )
इसके बाद डॉक्टर आपको निम्नलिखित जांच बता सकते हैं.
1) FNAC
2) TRU-CUT BIOPSY
3) MAMMOGRAPHY
4) BREST SONOGRAPHY
5) ABDOMEN SONOGRAPHY
6) BONE SCAN
FNAC और TRU-CUT BIOPSY
यह दोनों ही जांच एकदम प्राथमिक जांच मानी जाती है. दोनों ही जांच सिंपल जांच है. दोनों ही जांच गठान में सुई डालकर की जाती है. और अगर ACCURACY की बात करें तो TRU-CUT BIOPSY हंड्रेड परसेंट एक्यूरेट होती है .
तो फिर कौन सी जांच करना चाहिए.
FNAC
अगर जनरल सर्जन को लगता है की गठान एक नॉर्मल गठान है तो वह एफएनएसी (FNAC) की एडवाइस देता है.
इस जांच के लिए आपको पैथोलॉजी लैब में जाना होगा. आपको ऐसी लैब चुनना होगा जिसमें एमडी पैथोलॉजी डॉक्टर रहता है.
क्योंकि इस जांच को पैथोलॉजी के डॉक्टर ही सही तरीके से कर सकते हैं. अगर आप कोई DMLT टेक्नीशियन के लैब में जाएंगे और उनके हाथों से FNAC कराएंगे तो रिपोर्ट में गड़बड़ी हो सकती है.
अगर सही माने तो आप अपने डॉक्टर के सलाह अनुसार ही लेबोरेटरी जाए.
इस जांच के लिए डॉक्टर एक बारीक इंजेक्शन के द्वारा आप के गठान से कुछ सेल्स निकालते हैं और उनकी स्लाइड बनाकर माइक्रोस्कोप से जांच करते हैं.
इस जांच के लिए 2 या 3 दिन का समय लग सकता है. इस जांच के लिए आपको हजार से डेढ़ हजार तक रुपए लग सकते हैं.
जांच होने के बाद तुरंत आप घर वापस जा सकते हैं और आपको कोई दर्द भी महसूस नहीं होता है.

TRU-CUT BIOPSY
जब डॉक्टर को ऐसा लगता है कि गठान CANCER की हो सकती है तब वह आपको TRU-CUT BIOPSY करने की सलाह दे सकता है.
यह जांच जनरल सर्जन खुद करते हैं.
इसके लिए एक विशेष प्रकार के इंस्ट्रूमेंट का उपयोग किया जाता है. आपके स्तन के चमड़ी पर
सुन्न करने का इंजेक्शन दिया जाता है. उसके बाद उस इंस्ट्रूमेंट द्वारा गठान से छोटे-छोटे टुकड़े निकाले जाते हैं. उन टुकड़ों को फॉर्मलीन के पानी में डालकर लैब भेज दिया जाता है.
इस जांच में 6 से 8 दिन का समय लगता है.
यह कैंसर के जांच के लिए सही मानी जाती हैं.
इसमें 4000 से 5000 का खर्चा हो सकता है.
इस जांच के बाद आपको कोई तकलीफ नहीं होती. फिर भी आपको एंटीबायोटिक और पेन किलर लेना चाहिए.
इस जांच की रिपोर्ट में यह क्लियर लिखा जाता है कि गांठ में कैंसर है या नहीं है.
इसी वजह से इस रिपोर्ट को अत्यंत महत्वपूर्ण माना जाता है.

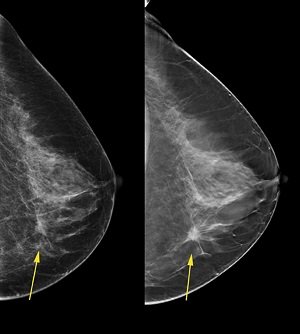
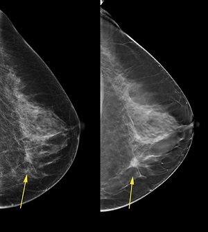
MAMMOGRAPHY in Breast Cancer
यह एक एक्सरे की जांच होती है. कुछ डॉक्टर आपको सोनोग्राफी को भेजकर कह सकते हैं कि यह भी मैमोग्राफी ही है. लेकिन सोनोग्राफी को सोनोमैमोग्राफी बोलते हैं.
और असली मैमोग्राफी एक्सरे जांच को ही बोलते हैं.
इस टेस्ट में आपके स्तन को एक्सरे मशीन में दो प्लेटों के बीच में दबाया जाता है. और एक्सरे लिया जाता है. आपके एक स्तन में गांठ है फिर भी अक्सर दोनों भी स्तन का एक्सरे किया जाता है.
इस जांच में कोई तकलीफ नहीं होती. हां आपको कुछ असहजता महसूस होती है. जांच की रिपोर्ट आपको तुरंत या शाम तक मिल सकती है.
इस जांच का खर्चा करीबन 2 से 3000 हो सकता है.
इस जांच में स्तन की गांठ को एक्स-रे के नजर से देखा जाता है. कहीं उस में कुछ कैंसर के लक्षण तो नहीं. अगर ऐसे कुछ लक्षण दिखाई देते हैं तो कैंसर की पॉसिबिलिटी की रिपोर्ट बनाई जाती है.

SONOGRAPHY ( Sonomammography )

यह अत्यंत सिंपल सोनोग्राफी जांच है. इसमें सोनोग्राफी मशीन द्वारा स्तन के गठान को देखा जाता है.
उस गठान में कुछ पानी है कि नहीं है यह भी देखा जाता है. छाती की हड्डियों को आप की गठान चिपकी है कि नहीं है यह भी देखा जाता है. और आपके कांख में कोई छोटी- मोटी गठानें दिख रही है तो वह भी इस मशीन में दिख जाती है. कांख की गठान देखना इस मशीन की खासियत मानी जाती है. और स्तन के कैंसर के लिए यह बहुत उपयुक्त जानकारी होती है कि आपके कांख में गठान है कि नहीं.
यह सिंपल पेट की सोनोग्राफी करने जैसा ही है. इसमें आपको कोई भी तकलीफ नहीं होती है. इसका खर्चा लगभग 1500 से 2000 होता है.
इसमें भी एक महत्वपूर्ण बात यह है कि आप एक एक्सपीरियंस सोनोग्राफी डॉक्टर से ही इसकी जांच कराएं. गायनेकोलॉजिस्ट जो महिलाओं के बीमारियों के स्पेशलिस्ट होते हैं वह यह जांच नहीं कर सकते. इसलिए आप गायनेकोलॉजिस्ट से अपने स्तन की सोनोग्राफी ना कराएं.
ABDOMEN SONOGRAPHY
& BONE SCAN In Cancer

जब आपके स्तन में जो गांठ है उसमें CANCER है यह जांच में पाया जाता है तब पेट की सोनोग्राफी और बोन स्कैन किया जाता है.
यह दोनों ही जांच आपके पूरे शरीर में कैंसर कितना फैला हुआ है यह देखने के लिए किए जाते हैं.
पेट के सोनोग्राफी में कैंसर की गांठ आपके लीवर में, या अन्य कहीं जगह पर है कि नहीं यह देखा जाता है.
बोन स्कैन जांच में आपके शरीर की पूरी हड्डियों में कोई कैंसर के अंश दिख रहे हैं या नहीं यह देखा जाता है.
बोन स्कैन एक स्पेशल जांच है. यह कुछ लिमिटेड लैब में ही होती है. इसका खर्चा भी 6 से 8000 होता है. इसमें आपको नसों में एक इंजेक्शन दिया जाता है और एक स्पेशल मशीन द्वारा आपके पूरे शरीर का GAMMA किरणों से एक्सरे किया जाता है.
इसकी रिपोर्ट आपको दूसरे दिन मिल सकती है और आपका कैंसर कितना फैला है इसकी जानकारी इस रिपोर्ट से मिलती है.
इन दोनों जांच से आपके कैंसर को कौन सा ट्रीटमेंट देना चाहिए यह तय होता है.
कैंसर के ट्रीटमेंट के मुख्यतः तीन प्रकार होते हैं.
कीमोथेरेपी
सर्जरी
रेडियोथैरेपी.
ट्रीटमेंट के बारे में मैं आपको अगले आर्टिकल में जानकारी दूंगा.
धन्यवाद.
